VNR Content
Pearl
Hãy tưởng tượng bạn đang ở một cửa hàng đồ ăn nhanh với bạn bè. Bạn gọi bánh mì kẹp thịt, khoai tây chiên và một lon Coca, nhưng người phục vụ bất ngờ hỏi: "Pepsi có được không?"
Ngay lập tức, cảm giác thất vọng ập đến bởi bạn chỉ thích Coca-Cola. Nhưng hãy khoan! Hương vị của Pepsi và Coca có thực khác biệt nhiều không? Tại sao đa số chúng ta lại có sở thích mạnh mẽ đối với cái này hơn cái kia?
Coca và Pepsi có thành phần gần như tương tự nhau, tại sao nhiều người lại thích Coca hơn?
Để có câu trả lời, bạn có thể cùng bạn bè tiến hành thử nghiệm sau: Đổ đầy hai ly, một ly có Coca và ly còn lại là Pepsi. Sau đó, yêu cầu bạn bè nếm thử mà không nói cho họ biết tên của mỗi loại và hỏi họ xem loại nào ngon hơn. Lưu ý, hãy ghi nhớ những người trước đó nói rằng họ thích Coca hơn Pepsi,
Sau đó, lặp lại thí nghiệm, nhưng lần này cho bạn bè của bạn biết ly nào chứa Coca và ly nào chứa Pepsi. Lưu ý xem họ thích loại nào trong khoảng thời gian này.
Trên thực tế, thí nghiệm trên là một nghiên cứu liên quan đến “tiếp thị thần kinh học” được thực hiện vào năm 2004 bởi một nhóm chuyên gia. Vậy, “tiếp thị thần kinh học” là gì?
Định nghĩa “tiếp thị thần kinh học”
Từ “tiếp thị thần kinh học” (neuromarketing) là sự kết hợp của từ ”thần kinh học” (neuroscience) và “tiếp thị” (marketing).
Thần kinh học là môn khoa học nghiên cứu về mọi thứ liên quan đến hệ thống thần kinh của chúng ta, cụ thể là về não và tâm lý con người.
Tiếp thị hay marketing là chiến lược mà các doanh nghiệp sử dụng để bán sản phẩm. Quảng cáo và tài trợ là một phần của các chiến lược như vậy. Để việc bán được nhiều hàng, những người làm marketing cần phải hiểu tâm lý của người mua.
“Tiếp thị thần kinh học” là nghiên cứu về hành vi mua hàng của con người dựa trên các kiến thức về hệ thần kinh
Tại sao một số thứ lại khiến bạn chú ý hơn so với những thứ khác? Tại sao bạn thích điện thoại Android hơn iPhone? Tại sao bạn chỉ thích ăn kem của Baskin Robbins? Nếu các nhà tiếp thị có thể tìm ra lý do tại sao mọi người thích những thứ nhất định hơn những thứ khác, họ có thể sử dụng các chiến lược đó để tăng doanh số bán hàng của mình.
Đây là lúc cần vận dụng những khiến thức về “tiếp thị thần kinh học trở”. Nó giúp chúng ta hiểu được lý do cơ bản đằng sau hành vi mua của mọi người và cách vận dụng hành vi đó.
Nghiên cứu Coca và Pepsi
Quay lại với thử nghiệm, đã có 67 người tham gia vào nghiên cứu. Khi họ nếm đồ uống trong các điều kiện đã nêu lúc đầu, hoạt động não của họ được đo thông qua “Hình ảnh cộng hưởng từ chức năng” (fMRI).
Khi một khu vực của não được kích hoạt, sẽ có một lượng máu dồn về khu vực đó. FMRI ghi lại sự thay đổi này trong lưu lượng máu, giúp các nhà khoa học biết được hoạt động nào kích hoạt những phần nào của não, từ đó hiểu được hành vi của con người.
Qua fMRI, các nhà nghiên cứu đã nhìn thấy những phần não được kích hoạt khi uống các loại đồ uống khác nhau.
Khi những người tham gia không biết họ đang uống đồ uống nào, mức độ ưa thích đối với đồ uống đó ít nhiều có sự ràng buộc ở mức 50%. Tuy nhiên, có sự khác biệt rõ rệt về kết quả khi những người tham gia biết họ đang uống loại đồ uống nào. Lần này, Coca đã giành được phiếu bầu phổ biến, với hơn một nửa số người thích nó hơn Pepsi.
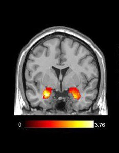
Hình ảnh fMRI: Khu vực được đánh dấu cho thấy hạch hạnh nhân đã được kích thích
Tuy nhiên, điều duy nhất thay đổi là họ biết tên thương hiệu! Vậy tại sao sở thích của họ lại thay đổi nhanh chóng như vậy?
Khi những người tham gia không biết tên của đồ uống, một trung tâm khoái cảm đặc biệt nằm ở phía trước của não được gọi là “vỏ não trước trán” (vmPFC) sẽ sáng lên. Vùng não này đặc biệt phản ứng với thức ăn mà chúng ta thấy hài lòng, chẳng hạn như đồ uống có ga có đường.
Mặt khác, khi những người tham gia biết tên đồ uống, các vùng não sáng lên liên quan đến cảm xúc và ký ức. Khi biết rằng họ đang uống Coca, những người tham gia đã thể hiện phản ứng cảm xúc khi biết tên thương hiệu, điều này dẫn đến việc họ thích Coca hơn Pepsi. Tuy nhiên, tên thương hiệu Pepsi không gây ra phản ứng này ở những người tham gia.
Các nhà khoa học kết luận rằng các chiến dịch quảng cáo rất thành công của Coca có ảnh hưởng sâu sắc đến trí nhớ của mọi người. Quảng cáo có tác động mạnh đến mức mọi người đã hình thành mối liên hệ cảm xúc với thương hiệu Coca, điều này đã mang lại cho họ sự thoải mái và hạnh phúc. Coca đã trở thành một biểu tượng văn hóa khó có thể loại bỏ!
Coca-Cola đã duy trì những chiến dịch quảng cáo mạnh mẽ và thành công trong suốt nhiều năm
Do đó, Coca được ưa chuộng chỉ dựa trên tên thương hiệu, ngay cả khi hương vị của Pepsi và Coca không khác biệt đáng kể.
So sánh kết quả thử nghiệm của bạn với kết quả của nghiên cứu này. Bạn có nhận thấy điều tương tự trong sở thích của bạn và bạn bè đối với Coca và Pepsi?
Tầm quan trọng về văn hóa có thể tạo ra sự khác biệt về quan điểm đối với hai loại đồ uống tương tự nhau là Coca và Pepsi. Trong nhiều năm, thử thách vị giác của Coca và Pepsi thậm chí còn trở thành một thử thách phổ biến trên internet. Các kết quả hầu như luôn gần với kết quả trong nghiên cứu, mọi người dường như thích Coca hơn khi họ biết đó là Coca.
Theo Science ABC
Ngay lập tức, cảm giác thất vọng ập đến bởi bạn chỉ thích Coca-Cola. Nhưng hãy khoan! Hương vị của Pepsi và Coca có thực khác biệt nhiều không? Tại sao đa số chúng ta lại có sở thích mạnh mẽ đối với cái này hơn cái kia?
Để có câu trả lời, bạn có thể cùng bạn bè tiến hành thử nghiệm sau: Đổ đầy hai ly, một ly có Coca và ly còn lại là Pepsi. Sau đó, yêu cầu bạn bè nếm thử mà không nói cho họ biết tên của mỗi loại và hỏi họ xem loại nào ngon hơn. Lưu ý, hãy ghi nhớ những người trước đó nói rằng họ thích Coca hơn Pepsi,
Sau đó, lặp lại thí nghiệm, nhưng lần này cho bạn bè của bạn biết ly nào chứa Coca và ly nào chứa Pepsi. Lưu ý xem họ thích loại nào trong khoảng thời gian này.
Trên thực tế, thí nghiệm trên là một nghiên cứu liên quan đến “tiếp thị thần kinh học” được thực hiện vào năm 2004 bởi một nhóm chuyên gia. Vậy, “tiếp thị thần kinh học” là gì?
Định nghĩa “tiếp thị thần kinh học”
Từ “tiếp thị thần kinh học” (neuromarketing) là sự kết hợp của từ ”thần kinh học” (neuroscience) và “tiếp thị” (marketing).
Thần kinh học là môn khoa học nghiên cứu về mọi thứ liên quan đến hệ thống thần kinh của chúng ta, cụ thể là về não và tâm lý con người.
Tiếp thị hay marketing là chiến lược mà các doanh nghiệp sử dụng để bán sản phẩm. Quảng cáo và tài trợ là một phần của các chiến lược như vậy. Để việc bán được nhiều hàng, những người làm marketing cần phải hiểu tâm lý của người mua.
“Tiếp thị thần kinh học” là nghiên cứu về hành vi mua hàng của con người dựa trên các kiến thức về hệ thần kinh
Tại sao một số thứ lại khiến bạn chú ý hơn so với những thứ khác? Tại sao bạn thích điện thoại Android hơn iPhone? Tại sao bạn chỉ thích ăn kem của Baskin Robbins? Nếu các nhà tiếp thị có thể tìm ra lý do tại sao mọi người thích những thứ nhất định hơn những thứ khác, họ có thể sử dụng các chiến lược đó để tăng doanh số bán hàng của mình.
Đây là lúc cần vận dụng những khiến thức về “tiếp thị thần kinh học trở”. Nó giúp chúng ta hiểu được lý do cơ bản đằng sau hành vi mua của mọi người và cách vận dụng hành vi đó.
Nghiên cứu Coca và Pepsi
Quay lại với thử nghiệm, đã có 67 người tham gia vào nghiên cứu. Khi họ nếm đồ uống trong các điều kiện đã nêu lúc đầu, hoạt động não của họ được đo thông qua “Hình ảnh cộng hưởng từ chức năng” (fMRI).
Khi một khu vực của não được kích hoạt, sẽ có một lượng máu dồn về khu vực đó. FMRI ghi lại sự thay đổi này trong lưu lượng máu, giúp các nhà khoa học biết được hoạt động nào kích hoạt những phần nào của não, từ đó hiểu được hành vi của con người.
Qua fMRI, các nhà nghiên cứu đã nhìn thấy những phần não được kích hoạt khi uống các loại đồ uống khác nhau.
Khi những người tham gia không biết họ đang uống đồ uống nào, mức độ ưa thích đối với đồ uống đó ít nhiều có sự ràng buộc ở mức 50%. Tuy nhiên, có sự khác biệt rõ rệt về kết quả khi những người tham gia biết họ đang uống loại đồ uống nào. Lần này, Coca đã giành được phiếu bầu phổ biến, với hơn một nửa số người thích nó hơn Pepsi.
Tuy nhiên, điều duy nhất thay đổi là họ biết tên thương hiệu! Vậy tại sao sở thích của họ lại thay đổi nhanh chóng như vậy?
Khi những người tham gia không biết tên của đồ uống, một trung tâm khoái cảm đặc biệt nằm ở phía trước của não được gọi là “vỏ não trước trán” (vmPFC) sẽ sáng lên. Vùng não này đặc biệt phản ứng với thức ăn mà chúng ta thấy hài lòng, chẳng hạn như đồ uống có ga có đường.
Mặt khác, khi những người tham gia biết tên đồ uống, các vùng não sáng lên liên quan đến cảm xúc và ký ức. Khi biết rằng họ đang uống Coca, những người tham gia đã thể hiện phản ứng cảm xúc khi biết tên thương hiệu, điều này dẫn đến việc họ thích Coca hơn Pepsi. Tuy nhiên, tên thương hiệu Pepsi không gây ra phản ứng này ở những người tham gia.
Các nhà khoa học kết luận rằng các chiến dịch quảng cáo rất thành công của Coca có ảnh hưởng sâu sắc đến trí nhớ của mọi người. Quảng cáo có tác động mạnh đến mức mọi người đã hình thành mối liên hệ cảm xúc với thương hiệu Coca, điều này đã mang lại cho họ sự thoải mái và hạnh phúc. Coca đã trở thành một biểu tượng văn hóa khó có thể loại bỏ!
Do đó, Coca được ưa chuộng chỉ dựa trên tên thương hiệu, ngay cả khi hương vị của Pepsi và Coca không khác biệt đáng kể.
So sánh kết quả thử nghiệm của bạn với kết quả của nghiên cứu này. Bạn có nhận thấy điều tương tự trong sở thích của bạn và bạn bè đối với Coca và Pepsi?
Tầm quan trọng về văn hóa có thể tạo ra sự khác biệt về quan điểm đối với hai loại đồ uống tương tự nhau là Coca và Pepsi. Trong nhiều năm, thử thách vị giác của Coca và Pepsi thậm chí còn trở thành một thử thách phổ biến trên internet. Các kết quả hầu như luôn gần với kết quả trong nghiên cứu, mọi người dường như thích Coca hơn khi họ biết đó là Coca.
Theo Science ABC